A Case That Challenged the Diagnosis
A 45-year-old patient presented with neck and shoulder pain.
The pain radiated to the palmar aspect of the left hand, involving all fingers from the thumb to the fifth digit. She also reported painful sensitivity to touch along the medial aspect of the arm and forearm.
Magnetic resonance imaging (MRI) of the cervical spine showed only mild posterior disc bulging at C6–C7.

She was treated as cervical radiculopathy for two years.
There was no improvement.
When the clinical picture does not fit
Over time, the patient’s symptoms progressed.
- The pain became increasingly severe
- The hand developed visible swelling
- During exacerbations, the hand turned bluish
- She reported significant cold intolerance
- Shoulder movement aggravated the pain
- Eventually, she developed a frozen shoulder
At this stage, the diagnosis required reconsideration.
The imaging findings did not explain the severity or distribution of symptoms.
A key clinical principle
Not all neuropathic pain originates from the spine.
Diffuse involvement of all fingers, combined with autonomic features such as swelling, color change, and temperature sensitivity, suggests a process beyond a single cervical nerve root.
Careful clinical reassessment is essential when symptoms do not follow expected patterns.
Looking beyond the spine
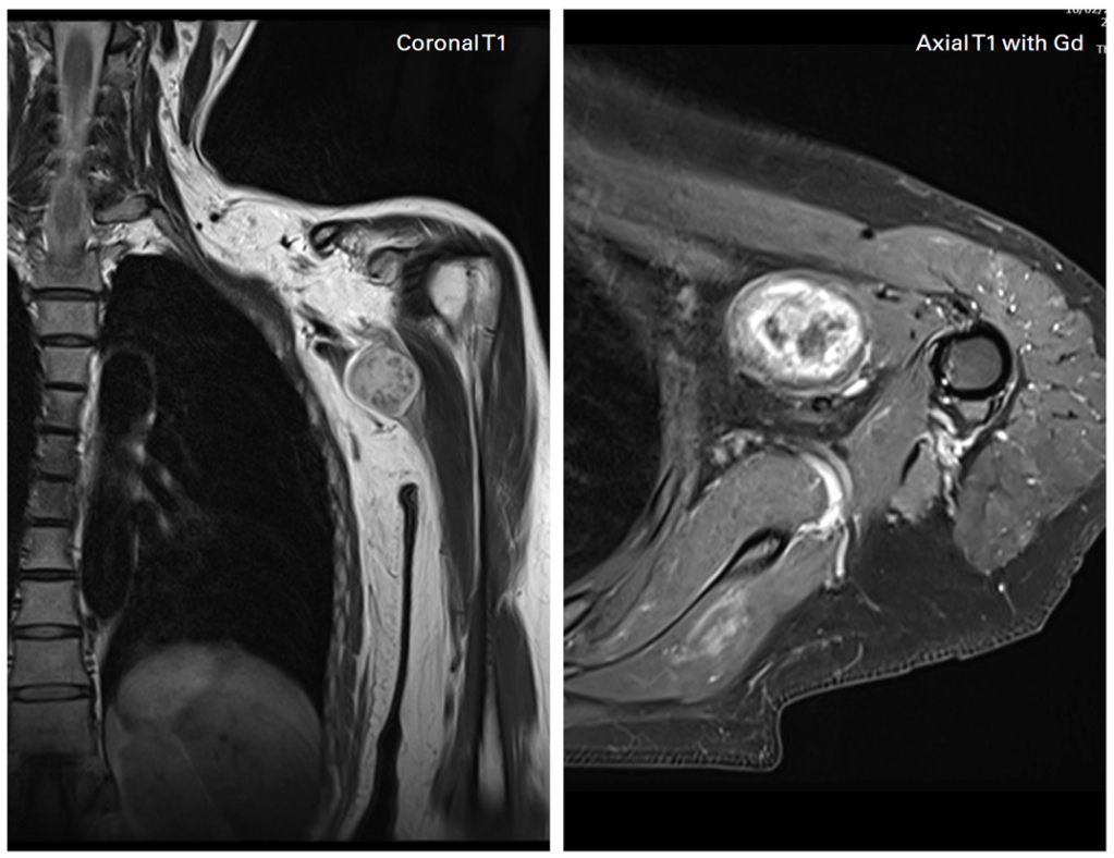
Further evaluation raised suspicion for a proximal lesion involving the brachial plexus.
Dedicated imaging of the brachial plexus revealed a nerve sheath tumor affecting the plexus.

The patient’s prolonged pain, along with autonomic changes, was consistent with secondary Complex Regional Pain Syndrome (CRPS) triggered by the underlying nerve pathology.
Why this matters
Mild degenerative findings on spinal imaging are common and often incidental.
When clinical symptoms do not correlate with imaging findings, alternative diagnoses should be actively considered—including disorders of the peripheral nerve and brachial plexus.
Failure to do so may misdiagnose and delay the diagnosis of significant underlying conditions
The role of multidisciplinary evaluation
Accurate diagnosis in complex pain conditions often requires:
- Detailed neurological examination
- Correlation between clinical findings and imaging
- Consideration of peripheral nerve and plexus pathology
- Collaboration across specialties
This approach helps avoid prolonged misdiagnosis and guides appropriate management.
Take-home message
The first step in managing pain is not to decide on treatment.
It is to ensure that the diagnosis is correct.
Because when the diagnosis is wrong, even the best treatment will fail.
Final thought
In patients with persistent symptoms that do not respond as expected, it is important to pause and reassess.
Sometimes, the problem is not where we initially thought it was.
Dr. Ekkapot Jitpun
Neurosurgeon – Peripheral Nerve & Pain
🌐 http://www.ekkapotjitpun.com
📍 Vejthani International Hospital, Bangkok
https://www.vejthani.com/
Leave a comment